Arquitecto de Sonrisas
Inicio
Nosotros
Tratamientos
Galería
Contacto
More
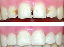
Diagnóstico y restauración de las piezas dentarias afectadas por procesos patológicos, traumáticos, congénitos, etc. Para devolverle la forma, función y estética.
Que involiucra:
-Las tapaduras
-Resinas
-Amalgamas
-Incrustaciones